The claim: Several social media emerged several versions of an X-ray image of a live cockroach in a patient's chest.
An image showing a cockroach in a chest x-ray was shared by the Facebook page “Let’s Enjoy Zimbabwe” on 10 April 2017, along with the claim that the gruesome discovery was made at the Rusape General hospital in Zimbabwe:
"A patient in Zimbabwe had serious chest pains; after taking an x-ray at Rusape General hospital, the image showed that he had a live cockroach in his chest moving about. Doctors recommended that he goes abroad, preferably to India. So the patient had to sell his house and a few contributions from relatives. When he got to India, another x-ray was taken and was told there was no cockroach in his chest, but the cockroach was in the x-ray machine they used in Zimbabwe."

Image source via vishvasnews
Another version was published, but the 'cockroach' is in India and seeking treatment in Singapore hospital, using the same image.

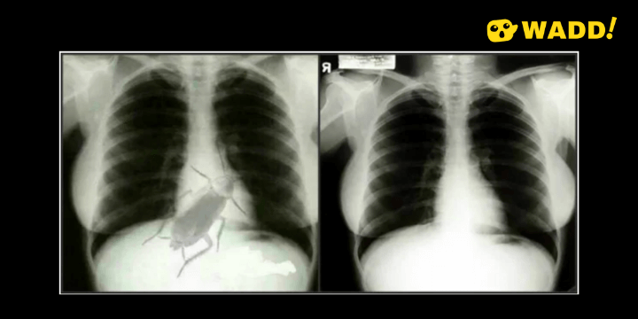
The Fact: The viral image is doctored. With a reverse image search of the chest X-ray, it was the famous Marilyn Monroe's X-ray.
In 1954, Marilyn Monroe was admitted to Cedar of Lebanon Hospital for endometriosis surgery. In 2010, a set of Marilyn Monroe's X-rays was auctioned for USD45,000. It was reported in many mainstream media.

Left - 'fake' cockroach viral image. Righ - Marilyn Monroe's X-ray image. Image source via snopes
Spot the similarity?

Image source via southreport
Keep us know of suspicious Facebook pages, groups, accounts, websites, articles, or photos by contacting us at admin@wadd.asia.
Let us battle disinformation one at a time.